端粒酶技術報告 (老化與癌症的救星-端粒酶)
端粒酶概述
2009年諾貝爾醫學獎得獎人布萊克本女士向世人推薦:
端粒酶 非常重要… (訪談節錄)
端粒酶 非常重要… (訪談節錄)
請問女士:端粒(telomeres)與端粒酶(telomerase)各是啥東西?
回答:端粒是細胞染色體尾端的保護罩,染色體傳達遺傳訊息,端粒扮演緩衝器的功能,如果失去保護罩,染色體尾端會開始磨損,端粒酶則是維持端粒長度的酵素,當染色體尾端耗損時,端粒酶會介入,並且協助重建端粒,染色體中的端粒會隨著細胞老化而漸漸失去功能。
請問女士:這很重要嗎?
回答:越來越重要。
【端粒酶】能啟動免疫力、對抗癌症,提高自體T細胞的殺癌療法

端粒酶疫苗(營養劑) 啟動兩大重要細胞就是T細胞和B細胞

(A) 一般疫苗99%只能啟動單一抗體或啟動單一T細胞,無法像端粒酶可以同時啟動二項。
(B) 以藥治癌都不是正確的方式。
(C) 2018年,二位美日諾貝爾醫獎得主,都已證實此事,因為化療藥、標靶藥皆沒有卻定性。
(B) 以藥治癌都不是正確的方式。
(C) 2018年,二位美日諾貝爾醫獎得主,都已證實此事,因為化療藥、標靶藥皆沒有卻定性。
端粒酶:是可以抗癌症,也可抗衰老的最大王牌(雙效功能)
添加端粒酶蛋白質進入人體內,可以調教人體許多免疫力,進而增加抗體.另外T細胞免疫力自己也會受到端粒酶元素啟動辨識殺癌細胞的能力,以及與免疫細胞共同進行雙殺癌細胞。
端粒酶對人體的表現,全部是正面優勢性。
端粒酶對人體的表現,全部是正面優勢性。
上圖為:2018日本免疫學家 本庶佑 (Tasuku Honjo) 及 美國 安德森癌症中心免疫學家 (JamesAllison),他們在上述癌症 免疫療法開疆闢土的貢獻,合給了一頂大桂冠。
新發明專利技術簡介
PTD-J-X:由PTD、J和X三種所組合的融合蛋白質


範例一:誘發高細胞型免疫--癌症疫苗之應用
分析人類 hTERT誘發細胞免疫之抗原基(epitopes)
分析人類 hTERT誘發細胞免疫之抗原基(epitopes)

截取hTERT 抗原基並組合成複合抗原(hTERTepi)

移植帶有人類hTERT基因的小鼠CT26大腸直腸癌細胞[CT26(hTERT#10)]到正常小鼠三週後,取脾臟細胞做離體培養,該脾臟細胞對CT26(hTERT#10)細胞及PTD-J-hTERTepi刺激會產生分泌IFN-γ。下圖每一個褐色點代表一個有免疫效果的細胞,點愈大表示功能愈強。hTERT 抗原基並組合成複合抗原(hTERTepi)

CT26:小鼠大腸直腸癌細胞
CT26(hTERT#10):表現人類hTERT之小鼠大腸直腸癌細胞
CT26(hTERT#10):表現人類hTERT之小鼠大腸直腸癌細胞
移植帶有人類hTERT基因的小鼠CT26大腸直腸癌細胞[CT26(hTERT#10)]到正常小鼠三週後,取脾臟細胞做離體培養,該脾臟細胞對CT26(hTERT#10)細胞及PTD-J-hTERTepi刺激會產生分泌Pre-treatment組:注射CT26(hTERT)癌細胞前第9及第2天腹腔注射1,000,000個DCs或35微克PTD-J-hTERTepiwo/w137微克PAj01;Post-treatment組:注射CT26(hTERT)癌細胞後第2及第9天腹腔注射1,000,000個DCs或35微克PTD-J-hTERTepiwo/w137微克PAj01。皮下注射CT26(hTERT)癌細胞後第17天,測量腫瘤的大小。

注射體外增生的DendriticCells(DCs)並不會明顯地刺激細胞分泌interferon-γ;PTD-J-FMDVepi重組蛋白質合併DCs則有明顯的效果。PAj01又可以進一步增加分泌interferon-γ的細胞數。

範例二:提高產量與誘發體液型免疫
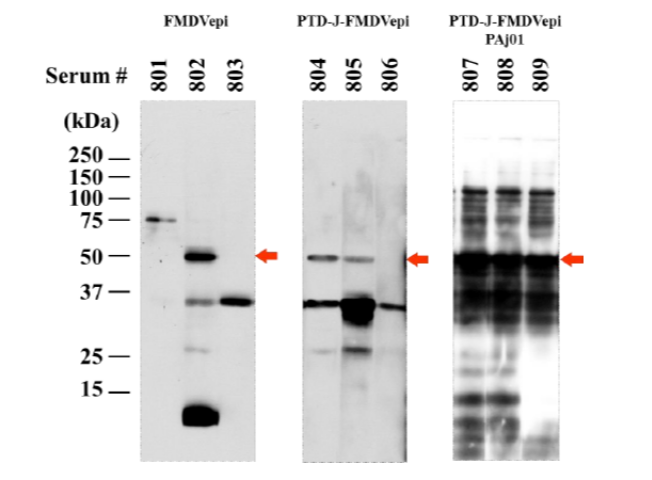
利用益菌生產口蹄疫抗基組合FMDVepi時,可以明顯地看出PTD-J-FMDVepi產量最高。

配合小鼠專用的PAj01佐劑,可以大大提高PTD-J-FMDVepi之免疫原性。

新發明PTD-J-X 技術,能以該物種之端粒酶,針對該哺乳類,執行針對性殺癌抗癌救命以及抗衰老。







Introduction to new invention patents
"Recombinant protein expression system with improved yield and immunogenicity"Obtained7 patents from Taiwan, the United States, the European Union, Japan, Australia and China
專利讓與儀式,亞洲第一基因細胞公司總經理何柏羲(平湘)(左)、農業科 技研究院動物所所長楊程堯。 農科院/提供
財團法人農業科技研究院研發團隊(現已為亞洲第一基因公司團隊)發明的「具提高產率及免疫原性之重組蛋白質表現系統」,相較於其他重組蛋白質表現技術,這項系統專利具有較高產量和較佳可溶性特性,適用於高單價蛋白質生產,此外,因具細胞膜穿梭能力,可開發細胞內治療的蛋白質藥物;若與特定蛋白質佐劑合併使用,則可分別誘發體液或細胞免疫反應,也適用於次單位疫苗開發。
經評選將專利讓與亞洲第一基因細胞股份有限公司,有助生技醫藥應用發展,提升產業國際競爭力。
國際期刊
亞洲第一基因細胞有限公司多次於權威國際期刋發表研究成果

International Standard Serial Number, 簡稱ISSN 國際期刊
(另外有關完成IPSC幼鼠誕生2016.03.16發表於權威國際期刊ISSN)
(另外有關IPSC幼鼠誕生2016.07.02二次發表於權威國際期刊ISSN)
(另外有關IPSC幼鼠誕生2016.07.02二次發表於權威國際期刊ISSN)
【端粒酶】是你最佳的選擇
1CC的端粒脢= 400萬美元。(訊息提供: 富比世)
圖片: 端粒酶原料( 亞洲第一基因細胞股份有限公司提供)
